آخر الأخبار
الرئيسية » صحة و نصائح وفوائد » إنقاذ ثلاث حالات قلبية حرجة في المشفى الوطني بطرطوس

إنقاذ ثلاث حالات قلبية حرجة في المشفى الوطني بطرطوس

 

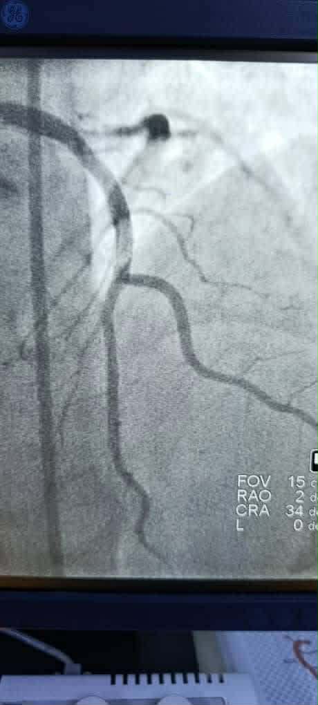
بعد منتصف ليلة الثلاثاء الماضي راجع العناية القلبية في مشفى طرطوس الوطني ثلاثة مرضى في العقد الرابع من العمر بحالات حرجة. تم التدخل الإسعافي الفوري، وتم إنقاذ المرضى الثلاثة وهم في حالة جيدة.
وذكرت المشفى على صفحتها الرسمية ان الحالات هي:
الأولى: مريض في الأربعينات يعاني من احتشاء سفلي مع حصار قلب تام وصدمة قلبية. تم فتح الشريان المنعكس المسدود تمامًا، مما أدى إلى تراجع حصار القلب مع تحسن في الحالة الهيموديناميكية واستقرار الحالة العامة.

الثانية: مريض في الأربعينات راجع بخناق صدر شديد، مع تاريخ عائلي حافل بالأزمات القلبية والوفيات القلبية. تم فتح الشريان الهامشي المسدود تمامًا باستخدام تقنية “Kissing stent” على تفرع الشريان المنعكس الأساسي، تلاها تحسن ملحوظ في الحالة العامة واستقرار الألم الصدري.

الثالثة: مريض في الخمسينات يعاني من احتشاء أمامي حاد لم يستجب للعلاج الخثاري. تم فتح الشريان الأمامي الرئيسي المسدود تمامًا، وإعادة التروية بشكل جيد.
وتم إجراء التدخلات الإسعافية للمرضى بين الواحدة والرابعة فجراً.

وتعقيباً على هذه الحالات وأسبابها دعت ادارة المشفى
الجميع إلى اتخاذ التدابير الوقائية مثل “الابتعاد عن التدخين والأركيلة، وممارسة الرياضة، وضبط مستويات الضغط والسكر، وتخفيف الوزن، مما يساهم بشكل كبير في تقليل الأزمات القلبية، خاصة لدى الشباب. كما تؤكد المشفى استعدادها التام لاستقبال الحالات الحرجة والتعامل معها بخبرات طبية عالية.

وتوجهت الادارة بالشكر لفريق العمل المؤلف من :
د. رياض سليمان، أخصائي قلبية
د. رفعت فسخة، أخصائي قلبية
مقيمي القلبية (سنة خامسة): د. أمجد صارم، د. خضر سليمان
فنيي القثطرة: علي جازي، أسعد بونياحي
فنية الأشعة: أسيل عدره
وللكادر التمريضي .

 

 

 

(أخبار سوريا الوطن2-المكتب الإعلامي للمشفى)

x

‎قد يُعجبك أيضاً

الكولاجين في الجسم.. كم يدوم وما مدى فعالية مكملاته؟

يُعد الكولاجين البروتين الأكثر وفرة في جسم الإنسان، حيث يلعب دورًا أساسيًا في دعم صحة الجلد والعظام والمفاصل، إضافة إلى مساهمته في الحفاظ على مرونة ...